歯を削らない。
「貼る」セラミック
最短2回、約2週間で完了。
最新の高強度ジルコニアが生み出す、
天然歯を傷つけない次世代の審美治療。

・国内大手技工所×当院の共同開発により高品質を実現
・特別価格 99,000円(税込)(参考:他商品 15万円〜)
・安心の3年保証付き
こんな方におすすめです
- 歯を削らずにキレイにしたい
- 自然な仕上がりにこだわりたい
- 短期間で見た目を改善したい


最短2回、約2週間で完了。
最新の高強度ジルコニアが生み出す、
天然歯を傷つけない次世代の審美治療。

・国内大手技工所×当院の共同開発により高品質を実現
・特別価格 99,000円(税込)(参考:他商品 15万円〜)
・安心の3年保証付き
こんな方におすすめです
これまでの審美治療は「見た目を良くするために、健康な歯を削る」のが一般的でした。しかし、一度削った歯は二度と再生しません。私たちは、患者様の10年後、20年後の歯の健康を第一に考えます。
「削らずに、美しく。」 最新技術と国内熟練技工士の技により、あなたの大切な天然歯を守りながら、最高級の笑顔をプロデュースします。


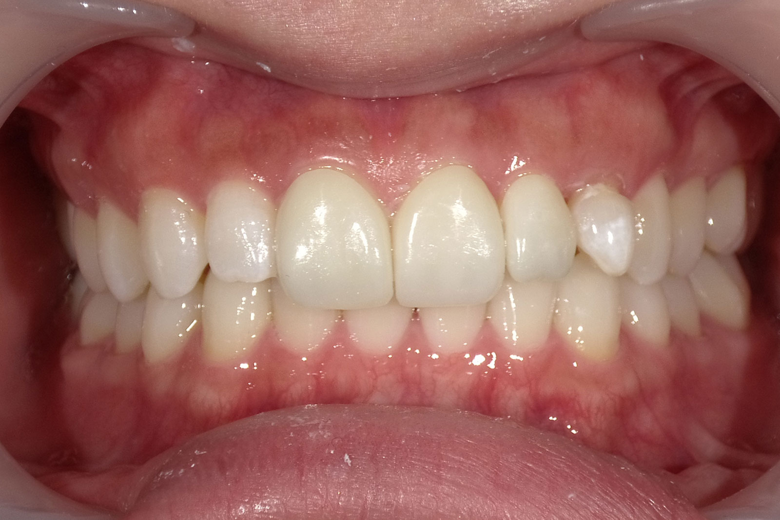
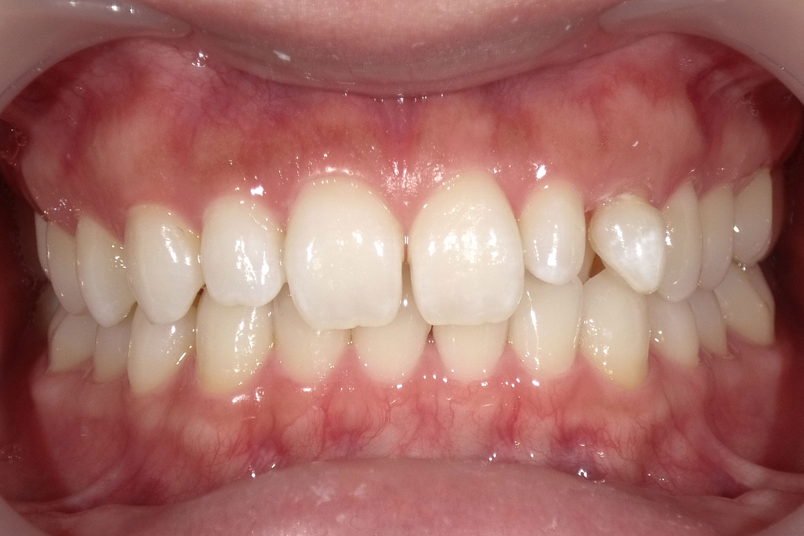
ラミネートベニアとは、歯の見た目を美しく整える審美治療のひとつです。
歯の表面をほんのわずかに削り、まるでつけ爪のように薄いセラミックを貼り付けることで、歯の形や色を整え、なめらかで自然な印象に仕上げます。
すき間や形の不揃い、変色が気になる歯に対して、短期間で見た目を改善できる方法として人気のある治療法です。
当院では、従来のように歯を削る必要がない「ノンプレップラミネートベニア(削らないラミネートベニア)」をご提案しています。
この治療法は、患者さんご自身の歯の形に合わせてセラミックをオーダーメイドで作製し、それを歯の表面に接着します。
歯を削らずに装着できるため、神経を取る必要もありません。天然の歯をできる限り守りたいという方に最適です。
さらに、ラミネートベニアの色味、形、装着感にご納得いただけなかった場合は、取り外せば元の歯の状態に戻すことができます。
「歯を削るのが不安」「自然な仕上がりにこだわりたい」
という患者さんにお勧めの選択肢です。

コンタクトレンズほどの超薄型ジルコニアを使用。歯の表面を削る必要がないため、麻酔も不要です。神経へのダメージをゼロに抑え、天然歯の寿命を縮めません。
海外発注によるコストダウンではなく、国内最大手技工所との提携による効率化で低価格を実現。日本人の繊細な歯の色味や形状を、熟練の技工士が0.1mm単位でオーダーメイドします。
素材は強度の高いジルコニアを採用。従来のガラス系セラミック(e-max等)に比べ割れ・欠けに強く、非常に丈夫です。薄さと強さを両立した、現状最高の素材です。
吸水性のないジルコニアは、コーヒーやワインによる変色が一切ありません。ホワイトニングでは到達できない理想の白さを、色戻りなしでキープできます。
矯正治療なら数年かかる「すきっ歯」や「歯並び」の悩みも、最短2回の来院で解決。イベントや結婚式を控えた方にも選ばれています。
独自の提携ルートにより中間マージンを徹底排除。ブランド料を上乗せせず、”中身の質”にこだわった適正価格で提供しています。
貼るだけベニア | 競合商品A | |
|---|---|---|
素材 | 高強度ジルコニア | セラミック素材 |
制作 | 国内大手技工所(安心・迅速) | 海外(韓国等)または提携先 |
保証 | 3年保証 | 医院により異なる |
金額 | 99,000円 | 150,000円〜 |
貼るだけベニア | ホワイトニング | 矯正治療 | |
|---|---|---|---|
白さの定着 | ◎(変色なし) | △(色戻りあり) | ー |
歯の形改善 | ◎(自由自在) | ×(できない) | ⚪︎(隙間のみ) |
治療期間 | ◎(2週間) | △(数ヶ月) | ×(数年) |
本当に歯を1ミリも削らなくて大丈夫ですか?
基本的には「削らない」治療ですが、歯並びのガタつきが強い場合や、ベニアの厚みで歯が前に出て見えてしまう場合は、違和感を防ぐために表面を0.1mm〜0.2mm程度(ヤスリで整える程度)微調整することがあります。その際も麻酔は不要で、痛みもありません。
99,000円以外に追加費用はかかりますか?
基本的に1歯あたりの製作費・装着費は込みの価格です。
※初診時の検査・診断料などは別途頂戴しております。カウンセリング時に総額を明確に提示いたします。
MINISH(ミニッシュ)など他の治療と何が違うのですか?
最大の違いは「国産・高強度ジルコニア・低価格」の3点です。当院は国内技工所と直接提携し、輸送費やブランド料をカットしているため、高品質なジルコニア製ベニアを手に届きやすい価格で提供できています。
もし割れたり剥がれたりしたらどうなりますか?
当院では3年間の製品保証を設けています。万が一、通常の使用範囲内でトラブルがあった場合は、無償で再製作・再装着を承ります。国内技工所と連携しているため、対応も非常にスムーズです。
寿命はどのくらいですか?
適切なメンテナンスを行えば、10年〜20年、あるいはそれ以上長くお使いいただけます。ジルコニアは劣化しにくい素材ですが、土台となるご自身の歯(歯茎)を健康に保つことが重要ですので、定期検診をおすすめしています。
当院では、患者さんが抱えていらっしゃるお口のお悩みや疑問・不安などにお応えする機会を設けております。どんなことでも構いませんので、私たちにお話ししていただけたらと思います。
ご興味がある方は下記からお問い合わせください。